Advertisers

Advertisers

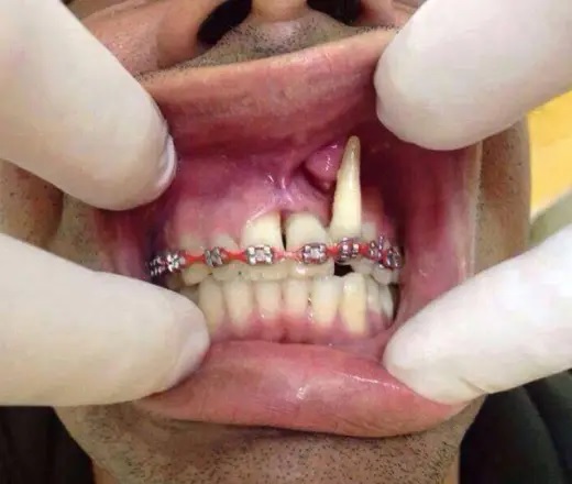
Pekeng dentista timbog sa Cagayan

0 28

Advertisers

Naaresto ang 27-anyos na babaeng pekeng dentista sa isinagawang entrapment operation sa Tuguegarao City, Cagayan.



Sa ulat ng Tuguegarao City Police, hindi pa pinangalanang suspek na nakakulong na ay inireklamo dahil sa pag-aalok ng dental services sa online sa pamamagitan ng pagpapadala ng mensahe sa mga potensyal na kliyente.

Pero sa isinagawang beripikasyon ng pulisya, kinumpirma naman ng Philippine Dental Association (PDA) at Professional Regulations Commission (PRC) na ang suspek ay hindi lisensyado ng dentista.

Ayon sa pulisya, nasakote ang suspect kamakailan matapos na isa nilang undercover agent ang magpanggap na kliyente.

Kasalukuyang inaasikaso ng suspek ang isang undercover agent sa ipinapagawa nito sa kanyang ngipin na hudyat para arestuhin siya ng mga paghahabla.

Hindi na nakapalag ang suspek na nakumpiskahan ng mga dental paraphernalia at ang kanilang mobile phone na gamit nito sa pakikipagkomunikasyon sa aming mga kliyente.

Base pa sa imbestigasyon, ang suspect ay isang high school graduate at illegal na nagsasagawa ng dentistry sa loob ng 10 taon gamit ang mga equipment na binili lamang nito sa online.(Fidel Coloma)